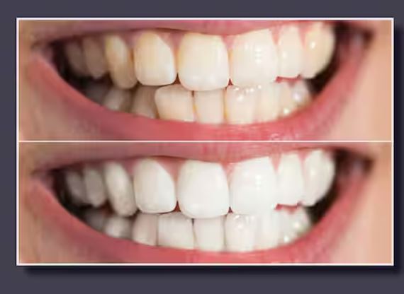
લોકોને માત્ર સફેદ દાંત જોઈએ છે. તેમને થોડી પણ પીળાશ ગમતી નથી. લોકો માને છે કે સફેદ દાંત સારા તો દેખાય છે પણ મજબૂત હોય છે. કેટલાક લોકો એવું પણ માને છે કે પીળા દાંત સફેદ દાંત કરતાં વધુ મજબૂત હોય છે. હકીકતમાં, દાંતનો કોઈ રંગ હોતો નથી. દાંત કેલ્શિયમ અને ફોસ્ફરસ અને ઘણા ખનિજોથી બનેલા હોય છે. તેમનો કુદરતી રંગ સફેદ છે. પરંતુ શું સફેદ દાંત કરતાં પીળા દાંત ખરેખર વધુ મજબૂત બને છે? ચાલો અમને જણાવો.
કયા દાંત વધુ મજબૂત છે, પીળા કે સફેદ?
સામાન્ય રીતે કેટલાક લોકો માને છે કે સફેદ દાંત વધુ મજબૂત હોય છે. તો કેટલાક લોકો કહે છે કે પીળા દાંત વધુ મજબૂત હોય છે. પરંતુ દંત ચિકિત્સકો કહે છે કે દાંતની મજબૂતાઈને રંગ સાથે કોઈ લેવાદેવા નથી. દાંતનો રંગ ઘણી રીતે બદલાઈ શકે છે. કોઈ રોગ અથવા ખરાબ ખાવાની આદતોને કારણે. તો એવું નથી કે જો તમે કોઈ વસ્તુ ખાઓ અને તમારા દાંતનો રંગ હળવો થઈ જાય તો તે નબળા થઈ જાય છે. તેથી જે લોકો માને છે કે સફેદ દાંત વધુ મજબૂત હોય છે. તે પણ યોગ્ય નથી અને જેઓ કહે છે કે પીળા દાંત મજબૂત છે તેમણે પણ પોતાની જાતને સુધારવી જોઈએ.
શું તમે સફેદ થવાની પ્રક્રિયામાં નબળા પડી જાઓ છો?
આ વિરોધ લોકોમાં પણ જોવા મળ્યો છે અને તેઓ તેમાં વિશ્વાસ કરે છે. જો કોઈના દાંત સફેદ થઈ જાય તો તેના દાંત નબળા થઈ જાય છે. વાસ્તવમાં આવું બની શકે કે ન પણ થાય. તમે મૂંઝવણ દૂર કરો. કંઈપણ કરવાની ઘણી રીતો છે, જો તમે કુદરતી પદ્ધતિઓથી તમારા દાંત સાફ કરશો તો તમારા દાંતને બિલકુલ નુકસાન થશે નહીં. પરંતુ જો તમે રસાયણોનો ઉપયોગ કરીને તમારા દાંતને સફેદ કરવાનો પ્રયાસ કરો છો, તો તમારા દાંતને નુકસાન થઈ શકે છે.

