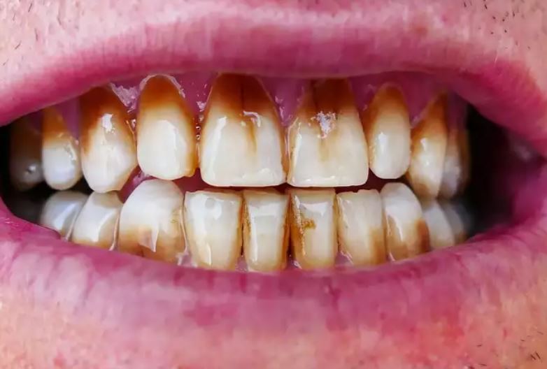
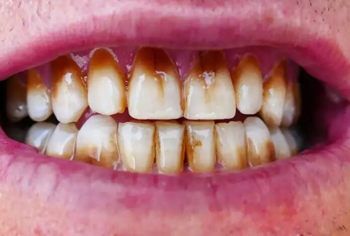
શું તમારા દાંતમાં પીળી તકતી જમા થઈ ગઈ છે, શું તમને શ્વાસમાં દુર્ગંધ આવે છે, શું તમને તમારા દાંતમાં કળતરની લાગણી લાગે છે. શું તમે કંઈપણ સખત કરડવા કે ચાવવામાં અસમર્થ છો, શું દિવસમાં બે વાર બ્રશ કર્યા પછી પણ તમને કોઈ અગવડતા છે? કોઈ ફાયદો? જો હા, તો હવે તમારે તમારા દાંત સાફ કરવા માટે કેટલીક નવી રીતો અજમાવી જોઈએ.
ખાધા-પીધા પછી બેક્ટેરિયા અને ખોરાકના અવશેષો મોંમાં રહે છે. આમાંના કેટલાક બેક્ટેરિયા દાંત માટે ફાયદાકારક છે, પરંતુ કેટલાક પેઢાના રોગ અને પોલાણનું કારણ બને છે. તમને જાણીને નવાઈ લાગશે કે દરરોજ બે વાર બ્રશ કર્યા પછી પણ આ સમસ્યાઓ થઈ શકે છે. કેટલીક પદ્ધતિઓ અજમાવીને, તમે પીળા દાંતને સફેદ કરી શકો છો અને શ્વાસની દુર્ગંધથી છુટકારો મેળવી શકો છો.
નિયમિતપણે ટૂથબ્રશ બદલો
મધ્યમ કદનું બ્રશ લો જેના બરછટ દાંત વચ્ચે સાફ થઈ શકે. બ્રશ કવરનો ઉપયોગ કરશો નહીં, આ બેક્ટેરિયા એકત્રિત કરી શકે છે. દરેક ઉપયોગ પછી બ્રશને સારી રીતે ધોઈ લો અને તેને હવામાં સૂકવવા દો. તેને ટોયલેટથી દૂર રાખો જેથી કરીને બેક્ટેરિયા ન ફેલાય. યાદ રાખો, ટૂથબ્રશના બરછટ જ્યારે તે ઘસાઈ જાય ત્યારે તેને બદલો; ઘસાઈ ગયેલા બરછટ દાંતને યોગ્ય રીતે સાફ કરતા નથી.
કાકડાની પથરી દૂર કરવી
જો તમે ક્યારેય તમારા ગળામાંથી નાના, પીળા ટુકડા નીકળતા જોયા હોય, તો તે કાકડાની પથરી હોઈ શકે છે. જો કે આ પથરી હાનિકારક નથી હોતી, તે શ્વાસમાં દુર્ગંધ લાવી શકે છે. આ બેક્ટેરિયા અને કાટમાળ છે જે કાકડાની તિરાડોમાં બને છે. આ નાના અને નરમથી લઈને મોટા અને સખત હોઈ શકે છે. આ સામાન્ય રીતે હાનિકારક હોય છે, પરંતુ કેટલાક કિસ્સાઓમાં તે ચેપનું કારણ બની શકે છે.

